当院内視鏡センターでは、胃カメラや大腸カメラはもちろんのこと消化器疾患の診断・治療から緊急対応、早期がん治療まで幅広く対応しています。内視鏡専門医、看護師、技師が連携し、安全・正確・迅速な医療の提供を目指しています。
当内視鏡センターでは健診・外来・入院における内視鏡検査および治療を行っています。病気の早期発見・早期治療を大切にしており、内視鏡での治療が可能な病変については速やかに治療を行います。一方で、内視鏡での治療が難しい病変については外科と連携し、適切に対応できる体制を整えています。
また、当院が掲げる「断らない救急」、「24時間365日すべての救急患者さんを受け入れる」ことを方針に掲げています。そのため、常に医師2名・看護師2名が待機し、緊急の内視鏡治療にも対応できる体制を備えています。
さらに詳しい内容については、下記のリンクより内視鏡センター長・加藤医師の解説をご覧いただけます。ぜひ参考になさってください。
突然の吐血や下血、胆道の感染、腸閉塞など、命に関わる事態に対しては、24時間365日体制で内視鏡による緊急治療を行っています。救急外来や病棟、他診療科と密に連携し、迅速な処置を行います。
出血性胃潰瘍、食道静脈瘤破裂、大腸憩室出血などでは出血点を内視鏡で確認し、様々な処置具や薬剤を用いて止血します。また、限られた医療機関でしか行われていない「胃静脈瘤破裂に対するヒストアクリル硬化療法」も可能な体制を整えています。
薬の殻、魚の骨、義歯、電池などを誤って飲み込んだ際に、内視鏡で安全に摘出します。

出血性胃潰瘍に対する止血鉗子を用いた止血術

PTPシート(薬の殻)誤飲に対する鉗子を用いた回収

胃静脈瘤破裂に対する
ヒストアクリルを用いた止血術

大腸憩室出血に対するバンドを用いた結紮術
腸の一部がねじれて便が通らなくなる病気で内視鏡を使ってねじれを解除し、腸の通過を回復します。
大腸が、がんなどで腸閉塞を来した場合に、金属製のステントを内視鏡で挿入し、通過を確保します。

S状結腸軸捻転に対する緊急内視鏡的整復術

下行結腸癌に対する緊急大腸ステント留置術
内視鏡による低侵襲治療が可能です。
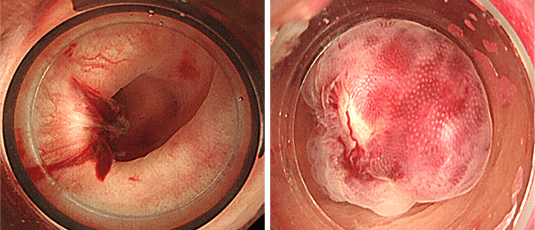
良性のポリープやがん化のリスクがある病変に対して、スネアという金属の輪になった器具(スネア)で病変を締め付けて切除します。

早期がんやその疑いのある腺腫に対して、電気メスを用いて病変を含む粘膜とその下の層で一括に切除する方法です。EMRに比べて、大きな病変を深い層で切除でき、より確実な切除が可能です。


早期大腸癌に対するESD
内視鏡医による内視鏡手術と外科医による腹腔鏡手術の合同手術で主にGISTなどの粘膜下腫瘍の治療に行う、低侵襲治療です。手術室(全身麻酔下)で行います。

胆道、膵臓に関わる腫瘍性疾患や炎症性疾患に対して、十二指腸鏡や超音波内視鏡を活用して診断と治療を行っています。
主な疾患
主な検査
十二指腸鏡を用いて胆管・膵管を造影する検査をERCPといいます。内視鏡を口から挿入し十二指腸まで進めます。十二指腸にある胆管や膵管の出口(十二指腸乳頭)から胆管や膵管にカテーテルを挿入し造影剤を注入したり、処置具を挿入したりします。

総胆管結石の場合はバスケットカテーテルやバルーンカテーテルなどの処置具を用いて結石を除去します。通常の処置具では除去困難な巨大結石に対しては、胆管の中に細径の内視鏡(経口胆道鏡)を挿入し結石を衝撃波で破砕する治療を行います。

巨大な総胆管結石

経口胆道鏡を用いて
衝撃波で破砕

結石除去後
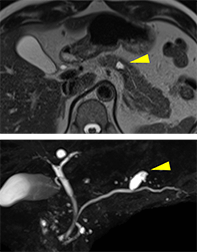
総胆管結石や悪性腫瘍(膵癌、胆道癌)などによって胆道の流れが滞り、黄疸や感染がみられる場合はプラスチックや金属性のステントを胆管に挿入して胆汁の流れをよくします。

膵癌による胆管狭窄

胆管ステント留置後

超音波内視鏡検とは、内視鏡の先端に取り付けられた超音波画像装置で、膵臓、胆嚢、胆管、リンパ節などの通常の腹部エコー、CT、MRIなどの検査で見にくい部位を調べることができる検査法です。
詳細な観察に関してはEUSが一番優れており、CTやMRIでは発見できないような小さな膵癌を発見することができます。
また、人間ドックなどの腹部超音波検査でよく発見される膵のう胞は腫瘍性のう胞である膵管内乳頭粘液性腫瘍(IPMN)であることが多いとされています。EUSではのう胞内結節などの悪性化を疑う所見を高感度に発見することができます。

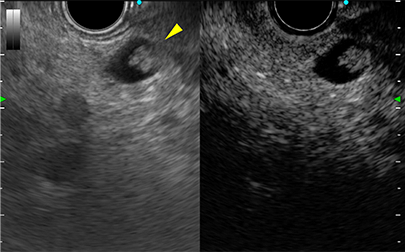
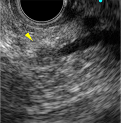
膵尾部分枝型IPMN

超音波内視鏡のみでのう胞内結節を指摘

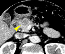
CT、MRIで膵管狭窄はある
が腫瘤は指摘できず

超音波内視鏡のみで
膵管狭窄部に膵腫瘤を指摘
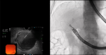
超音波内視鏡下穿刺吸引法(EUS-FNA)
膵腫瘍が疑われた時には本当に癌であるか確かめる必要があります。EUSを用いて腫瘍に対して細い針を刺し、腫瘍組織の一部を採取することが可能になっており、腫瘍の治療方針決定に非常に有用です。組織の採取は膵腫瘍以外にも腹腔内の腫瘍やリンパ節、粘膜下腫瘍など幅広く組織を採取することができます。


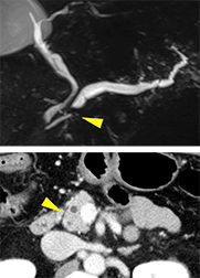
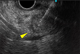
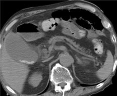
CTで膵頭部腫瘤を指摘

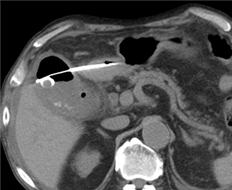
EUS-FNAで組織採取

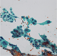
採取された検体

膵癌と診断
超音波内視鏡下ドレナージ(EUS-D)
胆膵疾患では胆管の閉塞による黄疸や肝障害に対してステントを留置して胆道ドレナージを行う必要があることが多々あります。原則としてはERCPでの胆道ドレナージを試みますが、様々な理由で困難な場合に胃や十二指腸などの消化管から超音波内視鏡を用いてステント留置を行うEUS-Dを行います。
また、急性胆嚢炎に対する治療は通常は外科的切除が行われますが、全身状態が悪く手術のリスクが高い場合には、超音波内視鏡を使用した胆嚢ドレナージで治療を行います。


急性胆嚢炎で受診

超音波内視鏡下胆嚢ドレナージ

十二指腸から
胆嚢にステント留置
| 2020年 | 2021年 | 2022年 | 2023年 | 2024年 | |
|---|---|---|---|---|---|
| 上部消化管内視鏡検査 | 5365 | 5883 | 6211 | 6495 | 6719 |
| 大腸内視鏡検査 | 1692 | 1762 | 1828 | 2014 | 2246 |
| 小腸内視鏡検査 | 10 | 13 | 18 | 10 | 8 |
| 小腸カプセル内視鏡検査 | 21 | 12 | 21 | 18 | 13 |
| 内視鏡的逆行性胆管膵管造影 | 275 | 325 | 293 | 310 | 311 |
| 超音波内視鏡検査(EUS) | 109 | 138 | 142 | 183 | 323 |
| 超音波内視鏡下穿刺吸引法 | 20 | 28 | 30 | 28 | 46 |
| interventional EUS | 3 | 5 | 1 | 4 | 11 |
| 食道粘膜下層剥離術 | 2 | 0 | 2 | 5 | 6 |
| 胃粘膜下層剥離術 | 36 | 42 | 31 | 68 | 66 |
| 大腸粘膜下層剥離術 | 26 | 21 | 16 | 42 | 48 |
| 十二指腸粘膜切除術 | 5 | 1 | 6 | 9 | 12 |
| 大腸粘膜切除術 | 573 | 683 | 772 | 875 | 992 |
| 大腸ステント留置術 | 11 | 6 | 12 | 16 | 16 |
| 十二指腸ステント留置術 | 0 | 7 | 4 | 3 | 4 |
| 胃静脈瘤 ヒストアクリル硬化療法 |
1 | 4 | 1 | 4 | 3 |